Aligner beugelbehandeling
Aligners –>de bijna onzichtbare manier om je tanden te corrigeren
Wat zijn aligners?
Transparante, op maat gemaakte hoesjes die je tanden stap voor stap recht zetten.
-
Comfortabel, uitneembaar en vrijwel onzichtbaar.
-
Je draagt ze 22 uur per dag en wisselt volgens schema.
Digitale opvolging met Dental Monitoring
Wij volgen je behandeling grotendeels op afstand via je smartphone.
📱 Hoe werkt het?
-
Je gebruikt de Dental Monitoring-app op je telefoon.
-
Om de 5, 6 of 7 dagen maak je foto’s van je tanden, met en zonder aligners.
-
De beelden worden automatisch beoordeeld met AI.
-
Wij kijken elke week mee achter de schermen.
-
Fysieke afspraken zijn alleen nodig om de 8–10 weken.
Voordeel: jij krijgt bijna wekelijks feedback, zonder reistijd of afspraken in de praktijk.
Wanneer wissel je van aligner?
-
Standaard: elke 7 dagen.
-
Bij een vlotte behandeling: versnelling naar 6, 5 of zelfs 4 dagen mogelijk.
-
Dankzij Dental Monitoring bepalen we precies wanneer je klaar bent voor de volgende aligner.
Waarom kiezen patiënten voor aligners?
-
✔ Bijna onzichtbaar
-
✔ Comfortabel, geen metaal of draadjes
-
✔ Eten, poetsen en flossen zoals normaal
-
✔ Beter voor mondhygiëne
-
✔ Minder fysieke praktijkbezoeken
-
✔ Strakke, digitale opvolging
Voor wie geschikt?
-
Volwassenen en tieners die hun tanden willen corrigeren zonder zichtbare beugel.
-
Mensen die vroeger een beugel hadden en weer lichte verschuiving zien.
Interesse?
Neem contact op voor een consult. We bekijken samen of aligners geschikt zijn voor jouw gebit!
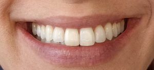
Hieronder een foto van:
VOOR
NA 
VOOR
NA 
Voor

NA

Voor

NA


